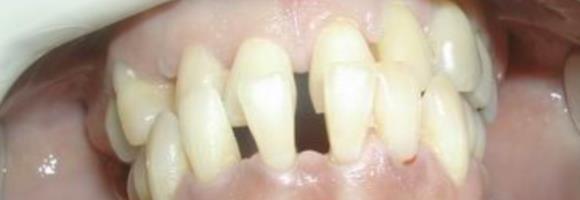
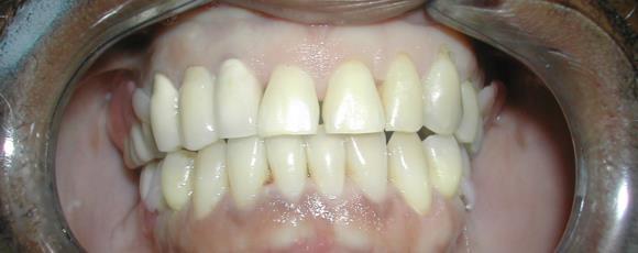
Transformation

Total treatment time 9 months. Multiphase treatment, orthodontics with restorative. Easy, doable, affordable, long lasting results, preserving natural dentition...