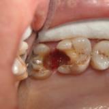
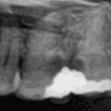
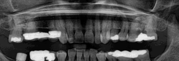
Immediate Implant Placement

A molar either maxillary or mandible always represents a little difficult and tricky scenario for implant placement immediately after extarction. There is always some sacrifice for the location, angle etc. however you save some time and patients go through a procedure once and it is a reliable method of replacing a tooth, when feasible. Dental implant is always a compromised replacement and a tooth restored with immediate placement is not any different.