Evaluating  a CBCT

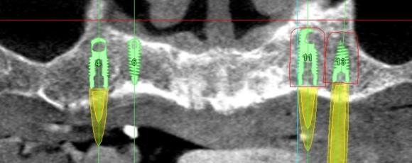
Compare a CBCT taken in 2011 vs in 2015, is there a difference? When is a good time to get a scan? A CBCT Scan is no longer a priviledge but it is a must diagnostic tool in Implant Dentistry. It gives you 3 dimesional view of a site, allows you to estimate proximity of vital structures such as a nerve or a sinus, you can study the anatomy, you can virtually plan a case, with or without a surgical guide.
Saying that scan is not necessary will soon be like stating xray is not essential. New CBCT machines deliver low dosage, fast scans for every clinical need..